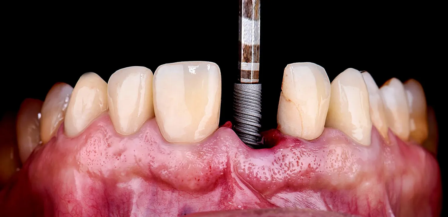
Implanty w jeden dzień Gryfice
Implanty w jeden dzień w Gryficach to innowacyjne rozwiązanie, które zyskuje coraz większą popularność wśród pacjentów poszukujących szybkiego i efektywnego sposobu na uzupełnienie brakujących zębów. Proces ten polega na wszczepieniu implantu dentystycznego oraz zamocowaniu na nim korony protetycznej w tym samym dniu. Dzięki nowoczesnym technologiom oraz zaawansowanym materiałom stomatologicznym, lekarze są w stanie przeprowadzić cały zabieg w ciągu kilku godzin. Kluczowym elementem tego procesu jest dokładne zaplanowanie leczenia oraz wykorzystanie technologii cyfrowych, takich jak skanowanie 3D, co pozwala na precyzyjne dopasowanie implantu do indywidualnych potrzeb pacjenta. W Gryficach wiele gabinetów stomatologicznych oferuje tę usługę, co sprawia, że pacjenci mają możliwość wyboru specjalisty, który najlepiej odpowiada ich oczekiwaniom.
Jakie są zalety implantów w jeden dzień w Gryficach
Decydując się na implanty w jeden dzień w Gryficach, pacjenci korzystają z wielu korzyści, które wpływają na ich komfort oraz jakość życia. Przede wszystkim, jednym z najważniejszych atutów jest czas realizacji zabiegu. W przeciwieństwie do tradycyjnych metod, które wymagają wielomiesięcznego oczekiwania na zakończenie leczenia, implanty w jeden dzień pozwalają na natychmiastowe uzyskanie estetycznego efektu. Kolejną zaletą jest minimalna inwazyjność procedury. Dzięki zastosowaniu nowoczesnych technik chirurgicznych oraz znieczulenia miejscowego, pacjenci doświadczają mniejszego dyskomfortu podczas zabiegu oraz szybszego powrotu do codziennych aktywności. Co więcej, implanty dentystyczne charakteryzują się wysoką trwałością i stabilnością, co sprawia, że są one znakomitą inwestycją na długie lata. Dodatkowo, poprawiają one funkcję żucia oraz estetykę uśmiechu, co ma pozytywny wpływ na pewność siebie pacjentów.
Jak przygotować się do zabiegu implantów w jeden dzień
Aby maksymalnie wykorzystać potencjał implantów w jeden dzień w Gryficach, ważne jest odpowiednie przygotowanie się do zabiegu. Pierwszym krokiem powinno być umówienie wizyty konsultacyjnej u stomatologa specjalizującego się w implantologii. Podczas takiej wizyty lekarz oceni stan zdrowia jamy ustnej pacjenta oraz przeprowadzi szczegółowy wywiad medyczny. Na podstawie zebranych informacji zostanie zaplanowany indywidualny plan leczenia. Warto również zadbać o odpowiednią higienę jamy ustnej przed zabiegiem oraz unikać palenia tytoniu i spożywania alkoholu, ponieważ mogą one negatywnie wpłynąć na proces gojenia. Pacjenci powinni również rozważyć wykonanie zdjęcia rentgenowskiego lub tomografii komputerowej, co pozwoli lekarzowi dokładniej ocenić warunki anatomiczne i zaplanować wszczepienie implantu.
Jak wygląda proces gojenia po wszczepieniu implantów
Proces gojenia po wszczepieniu implantów w jeden dzień w Gryficach jest kluczowym etapem całego leczenia i ma istotny wpływ na ostateczny efekt estetyczny oraz funkcjonalny. Po zabiegu pacjenci mogą odczuwać niewielki dyskomfort lub obrzęk w okolicy wszczepienia implantu, co jest normalną reakcją organizmu na ingerencję chirurgiczną. Lekarz zazwyczaj zaleca stosowanie środków przeciwbólowych oraz zimnych okładów na obszar operacyjny przez pierwsze dni po zabiegu. Ważne jest również przestrzeganie zaleceń dotyczących diety – przez kilka dni warto unikać twardych i gorących potraw, aby nie podrażnić miejsca wszczepienia implantu. Proces gojenia trwa zazwyczaj kilka miesięcy i polega na integracji implantu z kością szczęki lub żuchwy. Regularne wizyty kontrolne u stomatologa pozwalają monitorować postęp gojenia oraz upewnić się, że wszystko przebiega prawidłowo.
Jakie są koszty implantów w jeden dzień w Gryficach
Koszty implantów w jeden dzień w Gryficach mogą się znacznie różnić w zależności od wielu czynników, takich jak doświadczenie stomatologa, lokalizacja gabinetu oraz zastosowane materiały. Warto zaznaczyć, że cena jednego implantu dentystycznego może obejmować nie tylko sam implant, ale również dodatkowe usługi, takie jak konsultacje, diagnostykę obrazową czy znieczulenie. Średnio ceny wahają się od kilku do kilkunastu tysięcy złotych za cały proces leczenia. Pacjenci powinni być świadomi, że ta inwestycja może przynieść długoterminowe korzyści zdrowotne i estetyczne. Wiele gabinetów stomatologicznych oferuje różne formy finansowania, co może ułatwić pokrycie kosztów zabiegu. Możliwość rozłożenia płatności na raty lub korzystanie z programów lojalnościowych to opcje, które warto rozważyć. Dodatkowo, niektóre placówki oferują promocje lub zniżki dla nowych pacjentów lub przy pakietowym zakupie usług.
Jakie są opinie pacjentów o implantach w jeden dzień
Opinie pacjentów na temat implantów w jeden dzień w Gryficach są zazwyczaj pozytywne, co potwierdza rosnącą popularność tej metody leczenia. Wielu pacjentów docenia przede wszystkim szybkość i efektywność zabiegu, który pozwala na natychmiastowe uzyskanie estetycznego uśmiechu. Osoby, które zdecydowały się na tę formę leczenia, często podkreślają komfort związany z brakiem konieczności noszenia ruchomych protez oraz poprawę jakości życia dzięki lepszej funkcji żucia. Wiele osób zauważa również znaczną poprawę pewności siebie i samopoczucia po zakończeniu leczenia. Jednakże niektórzy pacjenci zwracają uwagę na konieczność przestrzegania zaleceń lekarza dotyczących pielęgnacji jamy ustnej oraz regularnych wizyt kontrolnych, aby zapewnić długotrwałe efekty.
Jakie są alternatywy dla implantów w jeden dzień
Choć implanty w jeden dzień w Gryficach stanowią nowoczesne rozwiązanie dla osób pragnących szybko uzupełnić brakujące zęby, istnieją także inne metody leczenia protetycznego, które mogą być odpowiednie dla różnych pacjentów. Jedną z najpopularniejszych alternatyw są tradycyjne mosty protetyczne, które zakładają osadzenie sztucznych zębów na zdrowych zębach filarowych. Mosty są stosunkowo szybkie do wykonania i mogą być dobrym rozwiązaniem dla osób, które nie chcą przechodzić przez zabieg chirurgiczny związany z wszczepieniem implantu. Inną opcją są ruchome protezy, które mogą być stosowane zarówno częściowo, jak i całkowicie. Protezy te są mniej inwazyjne i mogą być łatwiejsze do zaakceptowania przez osoby starsze lub te z ograniczeniami zdrowotnymi. Warto również wspomnieć o technice All-on-4, która polega na wszczepieniu czterech implantów w żuchwie lub szczęce i zamocowaniu na nich stałej protezy. Ta metoda jest szczególnie korzystna dla osób tracących wszystkie zęby w danym łuku.
Jakie są najczęstsze pytania dotyczące implantów w jeden dzień
Wielu pacjentów ma wiele pytań dotyczących implantów w jeden dzień w Gryficach przed podjęciem decyzji o zabiegu. Jednym z najczęściej zadawanych pytań jest to, czy zabieg jest bolesny. Dzięki nowoczesnym technikom znieczulenia większość pacjentów nie odczuwa bólu podczas procedury oraz po jej zakończeniu. Inne pytanie dotyczy trwałości implantów – dobrze wykonane implantu mogą służyć przez wiele lat, a nawet całe życie przy odpowiedniej pielęgnacji. Pacjenci często zastanawiają się również nad czasem gojenia – integracja implantu z kością trwa zazwyczaj kilka miesięcy, ale efekt estetyczny można uzyskać już tego samego dnia. Kolejnym istotnym zagadnieniem jest kwestia kwalifikacji do zabiegu; nie każdy pacjent będzie odpowiedni do wszczepienia implantu ze względu na stan zdrowia czy jakość kości szczęki. Dlatego tak ważna jest konsultacja ze specjalistą przed podjęciem decyzji o leczeniu.
Jak dbać o implanty po zabiegu
Aby zapewnić długotrwałe efekty po wszczepieniu implantów w jeden dzień w Gryficach, niezwykle istotna jest odpowiednia pielęgnacja jamy ustnej oraz przestrzeganie zaleceń lekarza po zabiegu. Po pierwsze, należy regularnie myć zęby co najmniej dwa razy dziennie przy użyciu pasty zawierającej fluor oraz miękkiej szczoteczki do zębów. Ważne jest również stosowanie nici dentystycznej lub irygatora wodnego do usuwania resztek pokarmowych z trudno dostępnych miejsc wokół implantu. Pacjenci powinni unikać twardych pokarmów przez kilka dni po zabiegu oraz ograniczyć spożycie alkoholu i tytoniu, ponieważ mogą one negatywnie wpłynąć na proces gojenia. Regularne wizyty kontrolne u stomatologa pozwalają monitorować stan implantu oraz wykrywać ewentualne problemy we wczesnym stadium. Dodatkowo warto zwrócić uwagę na zmiany w organizmie; jeśli wystąpią jakiekolwiek niepokojące objawy takie jak ból czy obrzęk wokół implantu, należy jak najszybciej skontaktować się ze specjalistą.
Jak wybrać najlepszego specjalistę do wszczepienia implantów
Wybór odpowiedniego specjalisty do wszczepienia implantów w jeden dzień w Gryficach jest kluczowy dla sukcesu całego procesu leczenia oraz osiągnięcia satysfakcjonujących efektów estetycznych i funkcjonalnych. Przede wszystkim warto zwrócić uwagę na doświadczenie lekarza oraz jego kwalifikacje – im więcej przeprowadzonych zabiegów tym większa pewność co do umiejętności specjalisty. Dobrym pomysłem jest również zapoznanie się z opiniami innych pacjentów oraz sprawdzenie referencji danego gabinetu stomatologicznego. Warto zwrócić uwagę na wyposażenie gabinetu – nowoczesny sprzęt medyczny oraz technologie cyfrowe mogą znacząco wpłynąć na jakość przeprowadzanego zabiegu oraz komfort pacjenta. Podczas konsultacji warto zadawać pytania dotyczące planu leczenia oraz metod stosowanych przez lekarza; dobry specjalista powinien być otwarty na rozmowę i chętnie odpowiadać na wszystkie wątpliwości pacjenta.





